ALERT!

This site is not optimized for Internet Explorer 8 (or older).

Please upgrade to a newer version of Internet Explorer or use an alternate browser such as Chrome or Firefox.

Cardiac - Other

August 27, 2016
The utility of a home visit program for patients discharged to home after cardiac surgery was assessed comparing a 4 year cohort of home visit patients to patients operated prior to the home visit program initiation.  Home visits decreased readmission rates by about 40%.  Costs per readmission were $40,000 to $56,000, whereas the cost of the entire p
August 8, 2016
A bona fide new technique applied in a handful of low-risk deep sternal wound infections. It will be interesting to see the follow-up and perhaps some cardiothoracic surgical input to the efforts of the esteemed plastic surgical colleague who is the sole author.
August 2, 2016
This video highlights the general approach to both complete and partial sternal cleft repair in pediatric patients.
July 19, 2016
This video shows an epicardial lead implant via videothoracoscopy in an 80-year-old male patient with hypertension, syncope, and fainting.
June 16, 2016
Repair of a posterior ventricular septal rupture after an acute myocardial infarction is a great challenge for cardiac surgeons. The authors describe their surgical technique in this regard, giving special attention to technical maneuvers in order to achieve a successful result.
June 15, 2016
Mark La Meir of Academic Hospital, Maastricht, the Netherlands, explains the rationale for the surgical treatment of atrial fibrillation.
June 13, 2016
This video demonstrates an autotransplantation technique for complete resection of a complex benign left heart tumor.
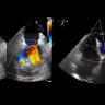
May 17, 2016
This video shows a valve-sparing excision of a papillary fibroelastoma in 74-year-old woman.
May 12, 2016
This case report describes the surgical treatment of a hydatid cyst in a 35-year-old patient.
April 23, 2016
An editorial discussion of the impressive 10-year benefits of CABG for ischemic cardiomyopathy as found in the STICH trial.

Pages