Videothoracoscopic Bilobectomy Superior [1]
Featured Image:

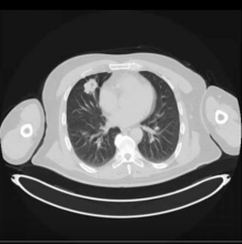
A 59-year-old asymptomatic man presented with a 3 cm NSCLC that was invading the upper and middle lobe fissure. PET and CT scans revealed no signs of extrathoracic disease or mediastinal lymph node metastasis.
Subspecialty(ies):
Thoracic [3]
Content Area(s):