Video-Assisted Thoracoscopic Surgery Resection of Posterior Mediastinal Cyst [1]

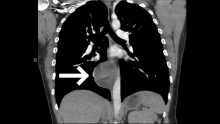
This is a case of a twenty-nine-year-old woman who initially presented to the emergency department with right-sided pleuritic chest pain, syncope, and leukocytosis. A CT angiogram revealed bilateral segmental and subsegmental lower lobe pulmonary emboli, as well as an indeterminate round posterior mediastinal mass measuring approximately 6 cm in its largest diameter and located just right of the midline, adjacent to the esophagus. The patient was scheduled for a right-sided video-assisted thoracoscopic surgery (VATS) for resection of the posterior mediastinal mass vs. cyst after three months of anticoagulation was completed for the treatment of her pulmonary emboli.
The Procedure
The patient was positioned with her right side up in the left lateral decubitus position and a single 10 mm camera port was placed in the anterior axillary line over the seventh rib. Three other 5 mm ports were placed, one in the eighth intercostal space (ICS) midaxillary line, one in the ninth ICS posterior axillary line, and one in the sixth ICS posterior axillary line. Upon entering the thoracic cavity, the 6 cm cystic structure was visualized in the posterior mediastinum, located within the inferior pulmonary ligament and adjacent to the inferior pulmonary vein and esophagus. The patient was found to have several lung adhesions secondary to prior infections associated with the cyst. These adhesions were taken down with a Ligasure device.
The excision of the cyst began with resection off the inferior pulmonary ligament and the right lower lobe of the lung. The cyst was then drained, revealing the purulent contents. The empty cyst was then resected off the esophagus. The cyst was then completely excised from the inferior pulmonary ligament and the inferior pulmonary vein. Complete resection of the cyst is essential to prevent recurrence.
Finally, Exparel was used for an intercostal nerve block. Incisions were closed in standard fashion and a 24 Fr Blake drain was placed in the posterior pleural space. The patient tolerated the procedure well and her postoperative course was unremarkable, with the patient achieving adequate pain control and tolerating a regular diet on postoperative day (POD) 0. On POD 1, the Blake drain was removed, and the patient was discharged that afternoon. Surgical pathology confirmed a bronchogenic cyst.
References
- Brzeziński, D., Lochowski, M. P., & Kozak, J. (2014). Videothoracoscopy in the treatment of mediastinal cysts. Wideochirurgia i inne techniki maloinwazyjne = Videosurgery and other miniinvasive techniques, 9(3), 393–397. https://doi-org.ucsf.idm.oclc.org/10.5114/wiitm.2014.44292
- Kelley, T. M., Jr, Bailey, D. W., Sparks, P., Rice, R., Caddell, E., Currier, H., & Gallo, D. (2018). Intercostal Nerve Blockade with Exparel® Results in Lower Opioid Usage during the First 24 Hours after Video-Assisted Thorascopic Surgery. The American surgeon, 84(9), 1433–1438.
Disclaimer
The information and views presented on CTSNet.org represent the views of the authors and contributors of the material and not of CTSNet. Please review our full disclaimer page here. [3]