VATS "Fissure Last" Bilobectomy with Systematic Lymph Node Dissection [1]
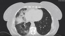
This video shows a VATS lower bilobectomy of the lung with systematic lymph node dissection for NSCLC, using a “fissure last” technique in a fissureless patient. This is a classic three-port technique with the surgeon and assistant standing in front of the patient. By avoiding dissection in the fissure, the surgeon can diminish the rate of air leakage postoperatively and reduce overall morbidity. In the author's view, length of hospital stay and hospital costs are also reduced with this technique.