Uniportal VATS Diaphragm Plication [1]
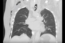
A 60-year-old patient was referred to the author’s clinic for operative treatment of diaphragm eventration with an unknown cause. Two months prior, the patient had been treated at another hospital for arterial embolism of the right leg, which was subsequently amputated. She was unable to be extubated, without obvious reason. Correction of the right hemidiaphragm was noted as a possible solution, with the goal of improving oxygenation and sink retention. The author performed a double-lined diaphragm plication by means of uniportal VATS with CO2 insufflation and use of the GelPOINT (Applied Medical, Rancho Santa Margarita, USA).
Despite some time-consuming adhesiolysis and the need for lung suturing at the end of the operation, incision to closure time was 120 minutes. Oxygenation remarkably improved after the operation, yet the comatose condition remained. The patient was referred back to the hospital where she initially had begun her therapy for further recovery.