Uniportal Right Upper Bilobectomy with Tangential Angioplasty [1]

Uniportal VATS pulmonary resections are becoming more frequent in the age of minimally invasive approaches. When facing big, central tumors, surgeons sometimes find it difficult to control vascular structures, mainly arterial branches, especially in the presence of enlarged interlobar lymph nodes.
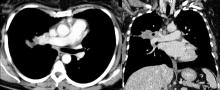
This video shows a 49-year-old woman with a 3.8 cm right upper lobe tumor, surrounding the segmental division of the upper lobe bronchus. The tumor was very close to the pulmonary artery (PA), and had extended contact with the minor fissure (Figure 1 [4]). There were also enlarged lymph nodes posterior to the anterior trunk of the PA surrounding the upper lobe bronchus and posterior to the middle lobe bronchus.
Through a 6 cm incision in the 5th intercostal space, the operating surgeons put a thoracoscopic port in the upper side of the incision, and a wound protector in the lower side. The surgeons assessed the minor fissure, and verified that the tumor invaded the middle lobe. The operating surgeons then proceeded with a right upper and middle bilobectomy. When the dissection of the posterior ascending branch was reached, the operating surgeons ascertained that there was no chance of dividing the arterial vessel because of tumor infiltration at its base. An endostapler was used across the wall of the pulmonary artery to verify there was no kinking or constriction so the distal branches for the lower lobe remained patent. The surgeons completed an exhaustive lymphadenectomy of the interlobar, hilar, paratracheal, subcarinal, and lower levels. The pathologic exam of the specimen revealed an adenocarcinoma of 4 cm, with margins free of tumor. All the lymph nodes were negative.
The authors believe that the uniportal VATS procedure is a safe approach for lung cancer surgery, even in the case of central tumors requiring more complex resections. The skills developed with the experience allow performing more advanced resections, like tangential angioplastic bilobectomy.
