Uniportal Posterior Approach for Videothoracoscopic Anatomical Resection of Posterior Segment of the Right Upper Lobe [1]
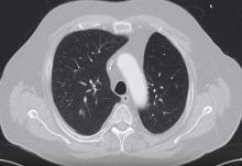
This video demonstrates the case of a 73-year-old patient with a history of colon carcinoma, prostate carcinoma, and contralateral lobectomy for non-small cell lung cancer. The patient was admitted for a 12 mm large nodule in the posterior segment of the right upper lobe. Distant metastasis was excluded and a video-assisted thoracoscopic (VATS) segmentectomy and lymphadenectomy was planned.
A fissureless VATS resection of the posterior segment of the right upper lobe using a uniportal posterior approach was successfully conducted without any adverse effects. The postoperative course was complicated, involving a transient ischemic attack and a urinary tract infection. No respiratory complications developed. The chest tube was removed on the third postoperative day, and the patient was discharged on the sixth postoperative day.
The tumor was diagnosed to be a primary acinar adenocarcinoma and the final TNM was pT1aN2M0. Two lymph nodes out of 10 at the stations 2 and 4 were tumor positive.