Uniportal Anatomical Fissureless VATS Resection of the Lingular Segment [1]
Case Presentation
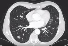
A 65-year-old male patient with metachronous metastatic supraglottic carcinoma was admitted for metastasectomy after a complete resection of the primary tumor and adjuvant radio-chemo therapy. Metastasectomy was conducted in two stages. First, the patient underwent left-sided anatomical lingular resection for two metastases, together with a wedge resection of another metastasis in the lower lobe. After a recovery phase, he then underwent a right-sided metastasectomy. The postoperative course was event-free, and the patient was discharged on the fourth postoperative day.
Comment
Dissection into the fissural parenchyma increases the risk of prolonged air leak, especially in the patients with incomplete fissures. In the “fissureless” VATS technique, hilar bronchovascular structures are divided first and the fissure is divided last. As the lung parenchyma is not dissected, air leak can be minimized. Uniportal anatomical VATS resection of the lingular segment with the fissureless technique can be performed safely without any adverse consequences, mostly in terms of prevention of prolonged air leak.