Treatment Strategy for Ground Glass Opacity and Tiny Lung Nodules [1]
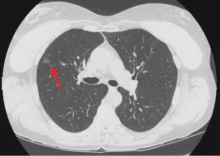
Joseph Shrager of Stanford University School of Medicine in California presents a discussion on the criteria to follow when removing pulmonary nodules and ground glass opacities. He discusses three major questions: when to resect, what type of resection to perform, and what technique to use for single, small ground glass or part-solid/lepidic adenocarcinoma.
This presentation was originally given during the SCTS Ionescu University program at the 2019 Annual Meeting of the Society for Cardiothoracic Surgery in Great Britain and Ireland. This content is published with the permission of SCTS [3]. Please click here [4] for more information on SCTS educational programs.