Robotic Right Upper Lobe Apical Segmentectomy [1]
This video demonstrates a robotic right upper lobe apical segmentectomy as surgical treatment for a lung metastasis from colorectal carcinoma, performed with the da Vinci Si platform using a three-arm technique plus a 10 mm assistant port. In the right arm, the authors used the fenestrated Marlyland bipolar forceps and the Cardiere forceps were used on the left arm. The assistant helped the lung exposition with a regular laparoscopic grasper and performed all vessel, bronchial, and parenchyma stapling through the 10 mm port. To assist the determination of the intersegmental plain, the authors used the Firefly system after the peripheral injection of indocyanine green (ICG).
Procedure
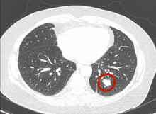
The patient was a 69-year-old woman with lung metastases from a colon adenocarcinoma, one in the right upper lobe apical segment and the other in the left lower lobe. It was proposed first to resect the right lesion by robotic assisted segmentectomy and to perform further surgery for the left side after recovery from the first operation. Ports for the camera and for the left arm were placed in the seventh intercostal space with the anterior port for the right arm placed in the sixth intercostal space. After port placement, the authors performed routine intercostal block with anesthetic solution under endoscopic vision. The dissection was started by exposing the pulmonary artery and then the upper pulmonary vein. To improve exposure, the authors remove not only the soft tissue but also all the lymph nodes at this site, promoting the lymphadenectomy. The pleura was opened over the posterior surface to expose the bronchus. After the authors obtained a good exposition of the hilum elements for the S1 segment, they started to staple the artery branch for the S1 segment. The next element to be stapled was the venous branch. The last hilum element stapled was the bronchus (B1). At this time, to help the intersegmental plane stapling, the authors injected 3 ml of a solution with ICG into the peripheral venous line. With the Firefly system turned on, the authors were able to see the margin of the S1 segment, which has its vascular supply sectioned and therefore does not stain in green. They marked the lung tissue with the Maryland bipolar forceps, then turned off the Firefly system and started to divide the intersegmental plane by stapling. Once the segment was loose, they used a bag to remove the specimen through the assistant port.
The patient was extubated in the immediate postoperative period, and she recovered from anesthesia without difficulty. The chest tube was removed on the first postoperative day and the patient was discharged uneventfully on postoperative day two. The tumor pathology revealed lung metastasis from colorectal adenocarcinoma.
Dr Ricardo M. Terra is on the Johnson & Johnson advisory board and is a speaker and preceptor for Medtronic and H. Strattner/Intuitive.