Robotic Repair of Hernia of Morgagni [1]

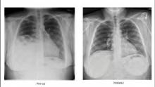
This is a case presentation including intraoperative video of a robotic-assisted laparoscopic repair of a hernia of Morgagni.
Reference
Wei B, Pittman BC. Robotic Morgagni hernia repair: an emerging approach to a congenital defect. J Robot Surg. 2019 Apr;13(2):309-313. [3]
Disclaimer
The information and views presented on CTSNet.org represent the views of the authors and contributors of the material and not of CTSNet. Please review our full disclaimer page here [4].