Robotic Mediastinal Parathyroid Adenoma Resection [1]
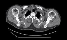
A 53-year-old male patient with cerebral palsy was admitted to a health center with contraction of his muscles. After his physical and other examinations were completed, a tumor believed to be a parathyroid adenoma was detected. His parathormone (494.6 pg/ml) and calcium (12.33 mg/dl) levels were very high. He was referred to the authors’ clinic when parathyroid scintigraphy showed that the adenoma was located in the mediastinum. The authors recommended robotic resection for mediastinal parathyroid adenoma. The resection was performed without any difficulty. No blood samples were taken intraoperatively. The pathological findings showed that the tumor was indeed a parathyroid adenoma. The postoperative course was uneventful, and the patient was discharged on the third postoperative day. Blood samples taken on postoperative day seven showed that the parathormone (51.7 pg/ml) levels were in the normal range and calcium (7.81 mg/dl) levels were in the low range. These blood levels are compatible with "Hungry Bone Syndrome.”