Robot-Assisted Trans-Thoracic Esophageal Diverticulectomy and Heller Myotomy [1]

Objective: This video demonstrates the technique for performing a trans-thoracic robot-assisted esophageal diverticulectomy and Heller myotomy.
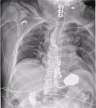
Technique: The patient was a 68-year-old gentleman with Parkinson's disease who had difficulty swallowing. A barium esophagogram and CT scan of the chest revealed a 4 cm epiphrenic esophageal diverticulum. Pre-operative EGD revealed the diverticulum arising at 32 cm from the incisors and the GE junction at 40 cm. The diverticulum, which contained retained food and tablets, was evacuated. Pulmonary function tests were adequate to perform a trans-thoracic operation. After intubation with a double lumen entrotracheal tube for lung isolation, EGD was performed on the table to empty the diverticulum of all its contents. An NGT was guided into the stomach. The patient was then repositioned in the left lateral decubitus position, prepped, and draped. The port placement is shown in the video. The diverticulum was mobilized and excised with a stapler, and the dehisced muscle was approximated. The esophageal hiatus was then dissected and the fat pad over the GE junction excised. The myotomy was performed and extended onto the stomach for 2 cm. A leak test was performed. The diaphragmatic hiatus was then approximated and the mediastinal pleura closed. Marcaine multilevel intercostal nerve block was performed. Blake drains were positioned in the chest.
The patient was extubated on the table. Post-operative management consisted of pain control. On the third postoperative day, an esophagogram was performed and no leak was detected. The NGT was discontinued and clear liquid diet started. The patient was discharged home on the fifth postoperative day.
Conclusion: Robot-assisted trans-thoracic esophageal diverticulectomy and Heller myotomy is a feasible and well tolerated operation.