Robot-Assisted Lingulectomy [1]

Case
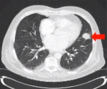
This video presents the case of an 82-year-old male with history of HTN, atrial fibrillation, and skin cancer. He had recently quit smoking after a 30 pack per year history. The patient presented with hemoptysis and investigation revealed a 3 cm spiculated mass in the lingula, which was a concern for malignancy. A CT scan did not reveal any additional pathology, and a PET/CT scan showed avid uptake limited to the mass. Pulmonary function was adequate to permit a surgical resection. Pre-operative cardiac risk stratification was performed.
Operative procedure
Bronchoscopy did not reveal any pathology. Cervical mediastinoscopy, with frozen section of the 2R, 2L, 4R, 4L, and level 7 lymph nodes, was negative.
Positioning
The patient was positioned in a right lateral decubitus position, exposing the left chest. Care is taken to make sure that the left arm is stretched across the head. The exposed shoulder must be kept low, as this could interfere with the robotic arms later. The bed is not "jack-knifed," in order to maintain neutrality in the horizontal plain. Prior to prepping and draping, the authors mark the scapular tip, the location of the hilum, and the potential port sites. The robot is brought in over the left shoulder.
Port placement
The authors use a 3-arm technique to perform the operation. The camera port is placed diagonally, opposite the robot, in line with the hilum. A hand-breadth on either side marks the sites for the working arms of the robot. An axillary port is placed in the 2nd intercostal space, just above the 3rd rib. This is usually the widest intercostal space, which allows the removal of the specimen in the later part of the operation. Two additional ports are placed in the back, just anterior to the paraspinous muscle. The superior port is in line with the hilum. The authors usually place a Foerster clamp through the superior port to retract the lung (this should line up with the hilum). The inferior port is placed just above the level of the diaphragm. This port allows the assistant to retract, aspirate, and staple.
Procedure
After port placement, the authors routinely use CO2 insufflation to provide better exposure. It pushes the diaphragm down and displaces the mediastinum to the opposite side. The heart and pericardium can often limit the view on the left side. After the pleura is examined, the anatomy of the lung is defined, the mass is identified, and the fissures are defined. Level 5 lymph nodes are dissected and sent for frozen section.
The authors prefer to perform an anterior to posterior approach, using a harmonic scalpel. The mediastinal pleura is opened. It is very important to define the venous anatomy, and removal of the 10L lymph node at the crotch of the pulmonary artery and pulmonary vein helps with this. Once the lingular vein is divided, the bronchial anatomy is defined. The lingular bronchus is identified and a test clamp is performed before dividing it. This reveals the pulmonary arterial system. At this point, completion of the fissure helps make placement of the staplers for vascular division easier. The branches of the lingular artery are divided. The lingula is stapled off from the remainder of the upper lobe. The authors routinely release the inferior pulmonary ligament and perform a lymph node harvest at this site.
The harmonic scalpel is exchanged for a hook cautery. The pleura and muscle are scored at the axillary port site. The specimen is placed in an Endocatch bag, along with any remaining lymph nodes and suture material. The bag is then pulled snug to the chest wall. The chest cavity is thoroughly washed out with 2.5 liters of saline. The saline is collected in the suction canister with 5,000 units of heparin, and routinely sent off for pleural fluid cytology. A leak test is performed. Multilevel Marcaine intercostal nerve blocks are performed. Pleural drainage tubes (1 chest tube, 1 Blake drain) are placed prior to completion of the operation. The specimen is removed and the robot is undocked. Patients are routinely extubated in the operating room.
Postoperative Management
Aggressive pain control with a PCA is used. Pulmonary toilet and ambulation is of utmost importance. The anterior apical chest tube is placed to water seal the morning of postoperative day one, and usually is removed by the afternoon. After the chest tube is removed, medications are transitioned to oral form. Patients are routinely discharged home on postoperative day two with a Blake drain connected to a bulb. This is removed on postoperative day five in the clinic.
Result
The elderly patient in this video sailed through his post-operative course. 30 lymph nodes were examined by the pathologist. The final pathologic diagnosis was a pT2aN0M0 squamous cell carcinoma with basaloid features. The robot assisted technique is an excellent approach for this operation.