Right VATS Resection of a Complex Mediastinal Bronchogenic Cyst [1]
Featured Image:
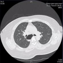
The authors present the case of a complex mediastinal bronchogenic cyst that was excised through a right VATS approach. The anatomy of the mediastinal structures are highlighted, as well as the use of intraoperative endoscopy.
Subspecialty(ies):
Congenital [3]
Thoracic [4]
Content Area(s):
Videos - General [5]