Repair of Scimitar Syndrome and Closure of Large Malaligned Subaortic Ventricular Septal Defect [1]

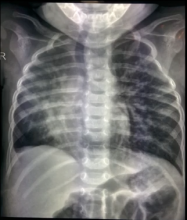
Surgical management of scimitar syndrome with hypoplasia of the right lung and additional systemic arterial supply to the right lung, with an associated ventricular septal defect (VSD), in a six-month-old infant is challenging. Various treatment options have been described. The authors demonstrate a simple, reproducible operative technique with good mid-term results.