Pulmonary Artery Pseudoaneurysm [1]
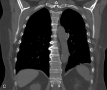
A 68-year-old woman presented to the thoracic surgery clinic for evaluation of a large left lower lobe mass. Six months prior, she had undergone attempted right-heart-catheterization at an outside hospital, which was aborted due to an acute pulmonary hemorrhage. Physical examination revealed decreased breath sounds at the left lung base. Computed tomography revealed an enhancing 8.9 cm mass (Figure 1A, arrow)arising from the left lower lobe segmental pulmonary artery (Figure 1B, arrowhead), compatible with a pseudoaneurysm. Iatrogenic damage to the pulmonary artery and its branches is a known complication of percutaneous interventional procedures, such as Swan-Ganz catheterization (1).
Small pseudoaneurysms can frequently bemanaged with a transcatheter approach utilizing coil-embolization or thrombin injection. However, larger lesions may require surgical intervention (2). The patient underwent left thoracotomy and left lower lobectomy. She was seen in the clinic following hospital discharge and was recovering well without complications (Figure 2).
References
- Shah MR, Hasselblad V, Stevenson LW, et al. Impact of the pulmonary artery catheter in critically ill patients: meta-analysis of randomized clinical trials. JAMA. 2005;294(13):1664-1670 [5].
- Lafita V, Borge MA, Demos TC. Pulmonary artery pseudoaneurysm: etiology, presentation, diagnosis, and treatment. Semin Intervent Radiol. 2007;24(1):119-123 [6].

