Preoperative Embolization of Bronchopulmonary Sequestration [1]
Bronchopulmonary sequestration is a rare disorder affecting 0.15 to 6.4 percent of all congenital pulmonary malformations. Treatment via embolization or surgery has been previously described. The authors report an intralobar pulmonary sequestration in an adult patient that was successfully treated with a hybrid approach of transarterial embolization followed by thoracoscopic segmentectomy.
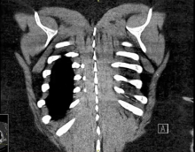
The patient was a 31-year-old woman with prior episodes of asthma exacerbation who was diagnosed incidentally with an intralobar pulmonary sequestration of the posterior basal left lower lobe. CT scan demonstrated an arterial feeding vessel to the sequestration originating from the celiac artery of the abdominal aorta. Surgical resection was recommended. Given the size, origin, and location of the feeding vessel to the sequestration, the authors elected to coil embolize the feeding artery prior to surgery to facilitate a safe thoracoscopic approach. The patient underwent thoracoscopic left lung basilar segmentectomy the next day. The large aberrant vessel was identified, dissected, and divided using a tan stapler at the level of the first bifurcation. The basilar arteries were subsequently divided with an endoscopic stapler, and the superior segmental artery was spared. The basilar segmental bronchus and inferior pulmonary vein distally to the branch feeding the superior segmental vein were isolated and divided, individually. The basilar segment was then separated with parenchymal stapling. The specimen was placed in a lobectomy bag and extracted through the wound. Intercostal nerve blocks were provided with liposomal bupivacaine. The patient tolerated the procedure well. The patient was discharged on postoperative day two and seen for follow-up at four weeks with no complications.
Bronchopulmonary sequestration is a rare disorder and identification of the aberrant systemic vessel is critical. A hybrid approach including preoperative transarterial embolization allows for a safe intraoperative dissection, prevents intraabdominal catastrophic bleeding, and has minimal morbidity.
Disclaimer
The information and views presented on CTSNet.org represent the views of the authors and contributors of the material and not of CTSNet. Please review our full disclaimer page here [3].