Post-Infarct Ventricular Septal Rupture: Surgical Repair, Pitfalls, and Safeguards [1]
Originally presented as a Surgical Motion Picture at the 2015 STSA Annual Meeting
Objectives: Repair of a posterior ventricular septal rupture after an acute myocardial infarction is a great challenge for cardiac surgeons. The authors describe their surgical technique in this regard, giving special attention to technical maneuvers in order to achieve a successful result.
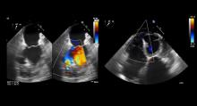
Methods: This video shows a 60-year-old female with right coronary artery occlusion, who developed a large posterior myocardial infarction with a 2.5 cm posterior ventricular septal rupture and a 2:1 left to right shunt.
Results: After a full sternotomy, the ascending aorta, superior vena cava, and inferior vena cava were cannulated. Antegrade and retrograde blood cardioplegia was used. The left ventricle was opened next to the posterior papillary muscle. The authors identified the mitral valve and aortic valve, and then found a posterobasal ventricular septal defect of 2.5 cm. The authors used interrupted 2-0 polyester mattress sutures with teflon felt from inside of the right ventricle to the outside of the left ventricle. The sutures were then passed through a Dacron patch and seated the patch. After this, the left ventriculotomy was repaired using a triple patch of bovine pericardium layers on either side of a Dacron patch ("empanada"). The authors placed interrupted 2-0 polyester sutures with teflon felt around the left ventricular free edge and then passed them through the triple patch. The patch was secured only after careful and adequate de-airing of the ventricle was performed. The postoperative echo showed no residual VSD.
Conclusion: Post-infarction posterior VSD can be safely managed as long as careful attention is used during the repair to ensure it is both stable and durable. In this video, all the technical aspects of the operation are shown with particular attention to anatomical structures, avoiding unnecessary injury, and creating a secure repair. The authors recommend this surgical technique as a novel approach, with the added advantage of strong support for the infarcted left ventricular wall due to the creation of the "empanada."
Copyright 2015, used with permission from the Southern Thoracic Surgical Association. All rights reserved.