Mediastinal Teratoma Causing Superior Vena Cava Compression [1]
Originally presented as a Surgical Motion Picture at the 2015 STSA Annual Meeting
Objectives: Teratomas are tumors consisting of tissue derived from all three germinal layers: the endoderm, mesoderm, and ectoderm. Germ cell tumors are predominantly found in gonads, while the anterior mediastinum is the most common extragonadal site. The authors present the case of a mediastinal teratoma adhering to the right upper lobe, compressing the superior vena cava and innominate vein.
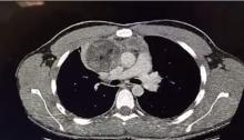
Methods: A 17-year-old male presented with chest pain and was examined preoperatively by chest x-ray, computed tomography of the chest with contrast, and a CT guided biopsy of the mass. The chest CT revealed a mass in the anterior mediastinum adherent to the right upper lobe invading the pericardium and compressing the superior vena cava and innominate vein. Pathological analysis of the biopsy revealed a non-malignant mature teratoma with keratinizing squamous epithelium with adnexal structures (skin), respiratory epithelium, intestinal epithelium, pancreatic tissue, cartilage, adipose tissue, and thymic tissue.
Results: The patient was subsequently taken to the operating room for a right anterior VATS with partial resection of the pericardium. The mass was resected along with the right upper lobe and part of the pericardium followed by a careful dissection around the right phrenic nerve, superior vena cava and innominate vein to preserve these structures. The tumor was successfully separated from the surrounding structures and removed from the thoracic cavity. The resected specimen was 11.0 cm long and 9.0 cm wide. The postoperative course was uneventful.
Conclusion: This is a rare case of a mediastinal teratoma involving the right lung, pericardium, SVC, and innominate vein. Complete resection of such tumors is recommended due to malignant transformation, potential rupture, and compression of airway or major vessels.
Copyright 2015, used with permission from the Southern Thoracic Surgical Association. All rights reserved.