Management of Complex Paraesophageal Hernias [1]

Paraesophageal hernias are complex and challenging when they occur with acute symptoms, in malnourished patients, or when there is gastric ischemia. Treatment should be individualized based on each patient’s clinical characteristics.
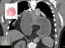
Medical treatment is often offered to most patients without chronic symptoms. In elective patients with good preoperative performance, surgical repair should be performed to resolve potential gastric or esophageal problems. In emergent cases, initial resuscitation and decompression may allow the patient to stabilize, especially when they can be endoscopically decompressed. This may allow patients additional time to recover before a surgical repair is performed prior to discharge. Surgical repair is often the best answer, but patients presenting for reoperation should only undergo reoperation if they have severe symptoms. The viability of the stomach and imaging, especially 3D imaging, can greatly influence what type of repair is needed, the repair timing, and whether or not adjunctive surgeries, such as a feeding tube placement, are required. Tenets of a good repair include: no mesh against the esophagus, crural closure, fundoplication in good candidates, gastropexy, and cruropexy. The video above reviews each step of a complex patient management algorithm (shown below) that guides the surgeon and team through the difficult decisions of managing paraesophageal hernias.
Additional Resources
- Landreneau RJ, Del Pino M, Santos R. Management of paraesophageal hernias. Surg Clin North Am. 2005;85(3):411-432 [3].
- Draaisma WA, Gooszen HG, Tournoij E, Broeders IA. Controversies in paraesophageal hernia repair: a review of literature. Surg Endosc. 2005;19(10):1300-1308 [4].
- Mitiek MO, Andrade RS. Giant hiatal hernia. Ann Thorac Surg. 2010;89(6):S2168-S2173 [5].
- Morino M, Giaccone C, Pellegrino L, Rebecchi F. Laparoscopic management of giant hiatal hernia: factors influencing long-term outcome. Surg Endosc. 2006;20(7):1011-1016 [6].
- Buenaventura PO, Schauer PR, Keenan RJ, Luketich JD. Laparoscopic repair of giant paraesophageal hernia. Semin Thorac Cardiovasc Surg. 2000;12(3):179-185 [7].
- Pellegrini CA. Invited Commentary. In: Gantert WA, Patti MG, Arcerito M, et al. Laparoscopic repair of paraesophageal hiatal hernias. J Am Coll Surg. 1998;186(4):428-432.
- Ballian N, Luketich JD, Levy RM, et al. A clinical prediction rule for perioperative mortality and major morbidity after laparoscopic giant paraesophageal hernia repair. J Thorac Cardiovasc Surg. 2013;145(3):721-729 [8].
- Rosen M, Ponsky J. Laparoscopic repair of giant paraesophageal hernias: an update for internists. Cleve Clin J Med. 2003;70(6):511-514 [9].
- Poulose BK, Gosen C, Marks JM, et al. Inpatient mortality analysis of paraesophageal hernia repair in octogenarians. J Gastrointest Surg. 2008;12(11):1888-1892 [10].
- Hill LD. Incarcerated paraesophageal hernia. A surgical emergency. Am J Surg. 1973;126(2):286-291 [11].
- Allen MS, Trastek VF, Deschamps C, Pairolero PC. Intrathoracic stomach. Presentation and results of operation. J Thorac Cardiovasc Surg. 1993;105(2):253-259 [12].
- Stylopoulos N, Gazelle GS, Rattner DW. Paraesophageal hernias: operation or observation? Ann Surg. 2002;236(4):492-500 [13].
- Fuhrman MP, Charney P, Mueller CM. Hepatic proteins and nutrition assessment. J Am Diet Assoc. 2004;104(8):1258-1264 [14].
- Mears E. Outcomes of continuous process improvement of a nutritional care program incorporating serum prealbumin measurements. Nutrition. 1996;12(7-8):479-484 [15].
- Ingenbleek Y, Van Den Schrieck HG, De Nayer P, De Visscher M. Albumin, transferrin and the thyroxine-binding prealbumin/retinol-binding protein (TBPA-RBP) complex in assessment of malnutrition. Clin Chem Acta. 1975;63(1):61-67 [16].
- Shenkin A. Serum prealbumin: Is it a marker of nutritional status or of risk of malnutrition? Clin Chem. 2006;52(12):2177-2179 [17].
- Flegal KM, Carroll MD, Kit BK, Ogden CL. Prevalence of obesity and trends in the distribution of body mass index among US adults, 1999-2010. JAMA. 2012;307(5):491-497 [18].
- Perez AR, Moncure AC, Rattner DW. Obesity is a major cause of failure for both abdominal and transthoracic antireflux operations. Gastroenterol. 1999;116:A1343.
- Must A, Spadano J, Coakley EH, Field AE, Colditz G, Dietz WH. The disease burden associated with overweight and obesity. JAMA. 1999;282(16):1523-1529 [19].
- Cuenca-Abente F, Parra JD, Oelschlager BK. Laparoscopic sleeve gastrectomy: an alternative for recurrent paraesophageal hernias in obese patients. JSLS. 2006;10(1):86-89 [20].
- Ikramuddin S. Surgical management of gastroesophageal reflux disease in obesity. Dig Dis Sci. 2008;53(9):2318-2329 [21].
- Sutherland V, Kuwada T, Gersin K, Simms C, Stefanidis D. Impact of bariatric surgery on hiatal hernia repair outcomes. Am Surg. 2016;82(8):743-747 [22].
- Arterburn DE, Courcoulas AP. Bariatric surgery for obesity and metabolic conditions in adults. BMJ. 2014;349:g3961 [23].
- Pi-Sunyer FX, Becker DM, Bouchard C, et al. Clinical guidelines on the identification, evaluation, and treatment of overweight and obesity in adults: the evidence report. Bethesda, MD: National Heart, Lung, and Blood Institute, US Dept of Health and Human Services; 1998 [24].
- Angrisani L, Iovino P, Lorenzo M, et al. Treatment of morbid obesity and gastroesophageal reflux with hiatal hernia by Lap-Band. Obes Surg. 1999;9(4):396-398 [25].
- Zainabadi K, Courcoulas AP, Awais O, Raftopoulos I. Laparoscopic revision of Nissen fundoplication to Roux-en-Y gastric bypass in morbidly obese patients. Surg Endosc. 2008;22(12):2737-2740 [26].
- Cuenca-Abente F, Parra JD, Oelschlager BK. Laparoscopic sleeve gastrectomy: an alternative for recurrent paraesophageal hernias in obese patients. JSLS. 2006;10(1):86-89 [20].
- Hazebroek EJ, Gananadha S, Koak Y, Berry H, Leibman S, Smith GS. Laparoscopic paraesophageal hernia repair: quality of life outcomes in the elderly. Dis Esophagus. 2008;21(8):737-741 [27].
- Parker DM, Rambhajan AA, Horsley RD, Johanson K, Gabrielsen JD, Petrick AT. Laparoscopic paraesophageal hernia repair is safe in elderly patients. Surg Endosc. 2017;31(3):1186-1191 [28].
- Davis SS Jr. Current controversies in paraesophageal hernia repair. Surg Clin North Am. 2008;88(5):959-978 [29].
- Raiche I, Haggar F, Mamazza J, et al. Paraesophageal hernia repair in the elderly Patient [SAGES 2012 poster P248]. Society of American Gastrointestinal and Endoscopic Surgeons Annual Meeting 2012 Abstracts Archive. https://www.sages.org/meetings/annual-meeting/abstracts-archive/paraesophageal-hernia-repair-in-the-elderly-patient/ [30]. Accessed April 11, 2018.
- Pierre AF, Luketich JD, Fernando HC, et al. Results of laparoscopic repair of giant paraesophageal hernias: 200 consecutive patients. Ann Thorac Surg. 2002;74(6):1909-1916 [31].
- Patel HJ, Tan BB, Yee J, Orringer MB, Iannettoni MD. A 25- year experience with open primary transthoracic repair of paraesophageal hiatal hernia. J Thorac Cardiovasc Surg. 2004;127(3):843-849 [32].
- Deschamps C, Trastek VF, Allen MS, Pairolero PC, Johnson JO, Larson DR. Long-term results after reoperation for failed antireflux procedures. J Thorac Cardiovasc Surg. 1997;113(3):545-550 [33].
- Rathore MA, Andrabi SI, Bhatti MI, Najfi SM, McMurray A. Metaanalysis of recurrence after laparoscopic repair of paraesophageal hernia. JSLS. 2007;11(4):456-460 [34].
- Awais O, Luketich JD, Schuchert MJ, et al. Reoperative antireflux surgery for failed fundoplication: an analysis of outcomes in 275 patients. Ann Thorac Surg. 2011;92(3):1083-1089 [35].
- Richter JE. Peptic strictures of the esophagus. Gastroenterol Clin North Am. 1999;28(4):875-891 [36].
- Hoang CD, Koh PS, Maddaus MA. Short esophagus and esophageal stricture. Surg Clin North Am. 2005;85(3):433-451 [37].
- Lin E, Swafford V, Chadalavada R, Ramshaw BJ, Smith CD. Disparity between symptomatic and physiologic outcomes following esophageal lengthening procedures for antireflux surgery. J Gastrointest Surg. 2004;8(1):31-39 [38].
- Luketich JD, Nason KS, Christie NA, et al. Outcomes after a decade of laparoscopic giant paraesophageal hernia repair. J Thorac Cardiovasc Surg. 2010;139(2):395-404 [39].
- Bawahab M, Mitchell P, Church N, Debru E. Management of acute paraesophageal hernia. Surg Endosc. 2009;23(2):255-259 [40].
- Borchardt M. Zur pathologie und therapie des magenvolvulus. Arch Klin Chir. 1904;74:243-246.
- Shafii AE, Agle SC, Zervos EE. Perforated gastric corpus in a strangulated paraesophageal hernia: a case report. J Med Case Rep. 2009;3:6507 [41].
- Rashid F, Thangarajah T, Mulvey D, Larvin M, Iftikhar SY. A review article on gastric volvulus: a challenge to diagnosis and management. Int J Surg. 2010;8(1):18-24 [42].
- Eckhauser ML, Ferron JP. The use of dual percutaneous endoscopic gastrostomy (DPEG) in the management of chronic intermittent gastric volvulus. Gastrointest Endosc. 1985;31(5):340-342 [43].
- Bhasin DK, Nagi B, Kochlar R, Singh K, Gupta NM, Mehta SK. Endoscopic management of chronic organoaxial volvulus of the stomach. Am J Gastroenterol. 1990;85(11):1486-1488 [44].
- Beqiri A, Vanderkolk WE, Scheeres D. Combined endoscopic and laparoscopic management of chronic volvulus. Gastrointest Endosc. 1997;46(5):450-452 [45].
- Paul S, Nasar A, Port JL, et al. Comparative analysis of diaphragmatic hernia repair outcomes using the nationwide inpatient sample database. Arch Surg. 2012;147(7):607-612 [46].
- Low DE, Unger T. Open repair of paraesophageal hernia: reassessment of subjective and objective outcomes. Ann Thorac Surg. 2005;80(1):287-294 [47].
- Zehetner J, Demeester SR, Ayazi S, et al. Laparoscopic versus open repair of paraesophageal hernia: the second decade. J Am Coll Surg. 2011;212(5):813-820 [48].
- Edye M, Salky B, Posner A, Fierer A. Sac excision is essential to adequate laparoscopic repair of paraesophageal hernia. Surg Endosc. 1998;12(10):1259-1263 [49].
- Hashemi M, Peters JH, DeMeester TR, et al. Laparoscopic repair of large type III hiatal hernia: objective followup reveals high recurrence rate. J Am Coll Surg. 2000;190(5):553-561 [50].
- Diaz S, Brunt LM, Klingensmith ME, Frisella PM, Soper NJ. Laparoscopic paraesophageal hernia repair, a challenging operation: medium-term outcome of 116 patients. J Gastrointest Surg. 2003;7(1):59-67 [51].
- Andujar JJ, Papasavas PK, Birdas T, et al. Laparoscopic repair of large paraesophageal hernia is associated with a low incidence of recurrence and reoperation. Surg Endosc. 2004;18(3):444-447 [52].
- Granderath FA, Carlson MA, Champion JK, et al. Prosthetic closure of the esophageal hiatus in large hiatal hernia repair and laparoscopic antireflux surgery. Surg Endosc. 2006;20(3):367-379 [53].
- Antoniou SA, Pointner R, Granderath FA. Hiatal hernia repair with the use of biologic meshes: a literature review. Surg Laparosc Endosc Percutan Tech. 2011;21(1):1-9 [54].
- Antoniou SA, Koch OO, Antoniou GA, Pointner R, Granderath FA. Mesh-reinforced hiatal hernia repair: a review on the effect on postoperative dysphagia and recurrence. Langenbecks Arch Surg. 2012;397(1):19-27 [55].
- Horvath KD, Swanstrom LL, Jobe BA. The short esophagus: pathophysiology, incidence, presentation, and treatment in the era of laparoscopic antireflux surgery. Ann Surg. 2000;232(5):630-640 [56].
- Awad ZT, Filipi CJ, Mittal SK, et al. Left side thoracoscopically assisted gastroplasty: a new technique for managing the shortened esophagus. Surg Endosc. 2000;14(5):508-512 [57].
- Champion JK. Laparoscopic vertical banded gastroplasty with wedge resection of gastric fundus. Obes Surg. 2003;13(3):465 [58].
- Donahue PE, Samelson S, Nyhus LM, Bombeck CT. The floppy Nissen fundoplication: effective long-term control of pathologic reflux. Arch Surg. 1985;120(6):663-668 [59].
- Watson A, Jenkinson LR, Ball CS, Barlow AP, Norris TL. A more physiologic alternative to total fundoplication for the surgical correction of resistant gastro-oesophageal reflux. Br J Surg. 1991;78(9):1088-1094 [60].
- Fuchs KH, Feussner H, Bonavina L, Collard JM, Coosemans W. Current status and trends in laparoscopic antireflux surgery: results of a consensus meeting. The European Study Group for Antireflux Surgery (ESGARS). Endoscopy. 1997;29(4):298-308 [61].
- Guidelines for surgical treatment of gastroesophageal reflux disease (GERD). Society of American Gastrointestinal Endoscopic Surgeons (SAGES). Surg Endosc. 1998;12(2):186-188 [62].
- Mosnier H, Leport J, Aubert A, Kianmanesh R, Sbai Idrissi MS, Guivarc’h M. A 270 degree laparoscopic posterior fundoplasty in the treatment of gastroesophageal reflux. J Am Coll Surg. 1995;181(3):220-224 [63].
- Coster DD, Bower WH, Wilson VT, Brebrick RT, Richardson GL. Laparoscopic partial fundoplication vs laparoscopic Nissen-Rossetti fundoplication. Short-term results of 231 cases. Surg Endosc. 1997;11(6):625-631 [64].
- Bell RC, Hanna P, Mills MR, Bowrey D. Patterns of success and failure with laparoscopic Toupet fundoplication. Surg Endosc. 1999;13(12):1189-1194 [65].
- Horvath KD, Jobe BA, Herron DM, Swanstrom LL. Laparoscopic Toupet fundoplication is an inadequate procedure for patients with severe reflux disease. J Gastrointest Surg. 1999;3(6):583-591 [66].
- Livingston CD, Jones HL Jr, Askew RE Jr, Victor BE, Askew RE Sr. Laparoscopic hiatal hernia repair in patients with poor esophageal motility or paraesophageal herniation. Am Surg. 2001;67(10):987-991 [67].
- Broeders JA, Mauritz FA, Ahmed Ali U, et al. Systematic review and meta-analysis of laparoscopic Nissen (posterior total) versus Toupet (posterior partial) fundoplication for gastro-oesophageal reflux disease. Br J Surg. 2010;97(9):1318-1330 [68].
- Tsimogiannis KE, Pappas-Gogos GK, Benetatos N, Tsironis D, Farantos C, Tsimoyiannis EC. Laparoscopic Nissen fundoplication combined with posterior gastropexy in surgical treatment of GERD. Surg Endosc. 2010;24(6):1303-1309 [69].
- Braslow L. Transverse gastropexy vs Stam gastrostomy in hiatal hernia. Arch Surg. 1987;122(7):851 [70].
- Zuiki T, Hosoya Y, Lefor AK, et al. The management of gastric volvulus in elderly patients. Int J Surg Case Rep. 2016;29:88-93 [71]. ss
Dr Blackmon holds a patent for an anastomotic esophageal device. She is a speaker/advisor for Medtronic, Ethicon, Boston-Scientific, and Olympus. She runs clinical trials sponsored by TruFreeze and Medtronic.