Left Video-Assisted Thoracoscopic Enucleation of a Giant Horseshoe Esophageal Leiomyoma [1]
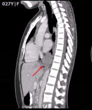
A 27-year-old woman underwent a video-assisted thoracoscopic enucleation of a giant horseshoe esophageal leiomyoma. The patient was asymptomatic and the lesion was discovered incidentally on a routine chest radiograph. Computed tomography (CT) of the thorax showed a 5.5 cm polypoid soft tissue mass in the distal third of the esophagus, causing narrowing and deviation of the lumen anteriorly. Esophagogastroduodenoscopy revealed a large submucosal mass at the distal third of the esophagus. The lesion was imaged as a 45 mm x 25 mm hypoechoic, inhomogeneous mass arising from the muscularis propria on endoscopic ultrasound. Fine needle aspiration (FNA) of the tumor showed a spindle cell tumor consistent with a leiomyoma.
The patient underwent a VATS excision of the tumor. She was placed in the right lateral decubitus position. The surgeon and camera operator stood in front of the patient for an anterior approach. Three ports were placed in the mid axillary line: a 5 mm camera port in the 6th intercostal space (ICS), a 5 mm working port in the 4th ICS, and a 10 mm working port in the 8th ICS. After lung isolation, the inferior ligament was divided. The mediastinal pleura over the lower third of the esophagus was opened. The lower third of the esophagus, up to the hiatus and EG junction, was completely mobilized due to the circumferential, horseshoe nature of the tumor, which extended to the hiatus. Exposure at the hiatal opening was enhanced with stay sutures. A myotomy over the tumor site was performed until the tumor was seen in the submucosal plane. The tumor was enucleated by sharp and blunt dissection between the muscular and mucosal planes. The tumor was placed in an Endobag and removed by enlarging the 10 mm port. An inadvertent small mucosal tear was made during the enucleation, which was repaired with Prolene 5/0 interrupted sutures. The muscular layer was repaired with interrupted polydiaxone 4/0 sutures.
An NG tube was placed into the stomach. A chest tube was placed though the lower most 10 mm port, and was removed after 24 hours. The patient was started on nasogastric feeding on the first postoperative day, and was not fed orally for six days. She was discharged home on postoperative day three. A contrast swallow performed on postoperative day six did not demonstrate a leak, with contrast flowing freely into the stomach. Histology of the specimen revealed a 12 cm x 3 cm x 3 cm leiomyoma. The patient remains well at three months’ follow up.