Left VATS Hemidiaphragm Traumatic Rupture Repair [1]
Featured Image:
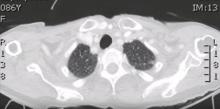
Diaphragmatic lacerations are not uncommon after blunt thoraco-abdominal trauma following traffic accidents. Diagnosis can be difficult as clinical presentation is sometimes unclear. VATS is a safe approach to confirm the diagnosis and treat the condition. This video presents the case of an 86-year-old woman with a grade IV injury.
Subspecialty(ies):
Thoracic [3]
Content Area(s):