Endoscopic Transnasal Drainage for Management of Iatrogenic Esophageal Perforation and Mediastinal Abscess [1]

Perforation of Zenker’s diverticulum is a known risk of endoscopic procedures, and surgical transcervical repair or drainage is the standard management (1). Unresolved leak may require alternate means of drainage.
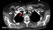
An 82-year-old woman suffered esophageal perforation during attempted endoscopic retrograde cholangiopancreatography (ERCP). Following left transcervical exploration and drainage, the patient remained septic with free perforation into the mediastinum and resulting mediastinitis. This video illustrates endoscopic discovery of perforated Zenker’s diverticulum and endoscopic transnasal drainage of mediastinal abscess.
Sepsis was controlled immediately following adequate endoscopic drainage. Transnasal mediastinal drain was placed as was a percutaneous gastro-jejunostomy for feeding. The patient was discharged home two weeks later on a clear fluid diet. The transnasal Jackson-Pratt drain was kept in place for 8 weeks following surgery. It was removed during outpatient endoscopy and imaging confirmed resolution of the leak and abscess.
Endoscopic evaluation and transnasal drainage represents a viable alternative or adjunct to traditional surgical management of proximal esophageal perforation with mediastinal abscess (2,3).
References
- Lenzen H, Negm AA, Erichsen TJ, Manns MP, Wedemeyer J, Lankisch TO. Successful treatment of cervical esophageal leakage by endoscopic-vacuum assisted closure therapy. World J Gastrointest Endosc. 2013;5:340. [3]
- Han X, Zhao YS, Fang Y, Qi Y, Li X, Jiao D, et al. Placement of transnasal drainage catheter and covered esophageal stent for the treatment of perforated esophageal carcinoma with mediastinal abscess. J Surg Oncol. 2016;114:725–730. [4]
- Altintoprak F, Gundogdu K, Eminler AT, Parlak E, Cakmak G, Uzunoglu Mustafa Y. An Endoscopic Nasomediastinal Approach to a Mediastinal Abscess Developing after Zenker’s Diverticulectomy. Case Rep Gastrointest Med. 2017;2017:8726706 [5].
Disclaimer
The information and views presented on CTSNet.org represent the views of the authors and contributors of the material and not of CTSNet. Please review our full disclaimer page here [6].