Dacron Sleeve Around 6.97 cm Ascending Aorta Aneurysm [1]
Introduction
The most recent ACC/AHA guidelines (1) suggest that asymptomatic patients with degenerative thoracic aneurysm who are otherwise suitable candidates, and for whom the ascending aorta or aortic sinus diameter is 5.5 cm or greater, should be evaluated for surgical repair (Class I; LOE: C). Dilatation of the ascending aorta to an external diameter of 6 cm or more is an indication for surgical replacement, as this is a hinge point for natural complications of aortic aneurysm (rupture or dissection)(2).
However, conventional replacement of the ascending aorta in an elderly, frail female is a major undertaking. Ascending aortic wrapping has been used for ascending aortic aneurysm (3,4), as well as acute type A retrograde aortic dissection (5). It retards further aortic dilation, thus altering the natural history of aortic aneurysms (6,7). A Dacron sleeve technique allows the ascending aorta to adopt the shape of the Dacron tube graft, and preserves the original tissues of the ascending aorta (8). The original circumference of the Dacron tube graft remains intact with manufacturer strength, and the contour of the Dacron tube graft does not alter (8). Moreover, the single aortic suture line reduces potential complications of haemostasis associated with root replacement or interposition tube grafting.
The operating surgeons have used this Dacron sleeve technique for selected patients since 2005.
History and Case Summary
An eighty-one-year-old, frail woman was referred by a family physician to a cardiologist due to recently diagnosed AF. On trans-thoracic echocardiogram, she was found to have dilated aortic root, ascending aorta, and descending aorta. Her other comorbidities were hypertension and hyper-cholesterolemia. She was asymptomatic at that time. Ramipril was added in her treatment and the next appointment was arranged. Nine months later an experienced cardiologist reviewed her, performed another trans-thoracic echo and reported a mild aortic regurgitation with dilated aortic root, ascending aorta, and arch. The cardiologist referred her to the surgeon for further management. Subsequently, she attended the cardiac surgeon’s clinic who advised a CT scan.
CT angiogram aorta (Figure 1A [3]) reported the following measurements:
- Aortic annulus - 2.8 x 1.9 cm
- Sinus of valsalva maximum measurement - 3.5 cm
- Sino tubular junction - 3.5 cm
- Ascending aorta at the level of right pulmonary artery - 6.4 cm
- Ascending aorta just proximal to the brachiocephalic trunk measures 5.2 cm
- Aortic arch at the level of left subclavian artery measures 3.4 cm
- Descending thoracic aorta at the level of the hiatus measures 2.9 cm
- Abdominal aorta just inferior to the renal artery measures 2.2 cm
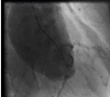
Her coronary angiogram (Figure 1B [3]) excluded any significant flow limiting disease, but showed very markedly dilated ascending aorta.
Surgical strategies were discussed, including interposition tube grafting and the alternative of a Dacron tube wrap procedure.
Pre-cardiopulmonary bypass trans-esophageal echocardiogram showed dilated ascending aorta with the following measurements:
- TOE- short axis view: distal ascending aorta= 6.97 cm (Figure1C [3])
- TOE- Long axis view: proximal aortic root= 6.8 cm (Figure1D [3])
- TOE- Long axis view: STJ=3.1 cm; Sinus of valsalva= 3.3 cm; LVOT diameter = 1.9 cm (Figure1E [3])
Operative Course (7)
The cardiopulmonary bypass was established as routine. The ascending aorta was dissected and separated from the surrounding tissues. The length of ascending aorta from root to the origin of brachiocephalic artery was measured, and a 3.8 cm diameter Dacron tube graft was selected. The aorta was divided and the distal part of the aorta passed back through the Dacron graft as a sleeve. The aorta was then re-anastomosed with continuous sutures. The perfusionist reduced the flow briefly in order to reduce the perfusion pressure, thus facilitating the easy spreading of Dacron graft including the aortotomy suture line. Once Heparin was reversed and the aortic cannula was removed, the aortic cannulation site was covered by slightly stretching the Dacron sleeve over it.
71 minutes on cardiopulmonary bypass and 39 minutes in cross-clamp time was required to achieve a nice and smooth sleeve around 7 cm dilated ascending aorta. Post cardiopulmonary bypass trans-esophageal echocardiogram confirmed a smooth and wrinkle free reduction of ascending aorta diameter, without aortic regurgitation with the following measurements:
Post-Operative Period
The patient stayed for one night in the intensive care unit with minimal dose of Dopamine. The total chest drain was 260 ml and she did not require blood or blood products transfusion. She stayed for five additional days in the surgical ward for recovery. Interestingly, she remained in sinus rhythm post-operatively with a rate of 80/min. Then she was discharged to home with a good general condition. She attended routine post-operative review clinic five weeks later and was in a good general condition.
The patient had CT angiogram aorta (Figure 2C & 2D [4]) five weeks post-surgery, which was reported as "satisfactory appearance of the ascending aortic replacement." The radiologist could not differentiate that this patient had sleeve around ascending aorta not replacement. The ascending aorta measures a maximum diameter of 3.9 mm.
Discussion
There are several techniques described in the literature for wrapping of the ascending aorta:
- Wrap without aortoplasty
- Wrapping of the ascending aorta with a fine Dacron transparent and stretchable mesh
- Manually pre-prepared prosthesis which respects the shape of the aorta
- Reduction aortoplasty with wrapping
- Endarterectomy and external wrapping
- Off-pump aortoplasty with external wrap
At first glance, it seems better to simply split the Dacron tube graft vertically and resuture it around the aorta without CPB and without any aortic incision. The main concern is that there is potential for thinning of the aorta after a resutured wrap, as this technique creates an inelastic tube around the native aorta. This results in the compression of the aortic wall layers between opposite forces (inelastic external Dacron wrap and internal aortic blood pressure). This interferes with the metabolism of the aortic tissues and induces atrophy and sclerosis (9).
The Dacron tube graft is gelatine-sealed woven polyester. Weaving is a method in which two distinct sets of yarns or threads are interlaced at right angles. Woven fabric is more elastic in the bias direction (at 45 degrees between the longitudinal and transverse thread). Every piece of woven fabric has two biases, perpendicular to each other (Figure 3A [6]). Splitting and wrapping the Dacron tube graft will form a rigid tube around the aorta. A wrapped aorta cannot stretch because the Dacron graft loses its maximum elasticity (Figure 3B [6]), that was at 45 degrees between the longitudinal and transverse threads. This compresses the aortic tissues in several planes (inelastic external Dacron wrap and internal aortic blood pressure), and leads to the thinning and atrophy of the aortic wall.
However, the described sleeve technique preserves the bias direction of stretch of gel weave graft. This allows the Dacron sleeve to stretch in bias direction uniformly as per manufacturer design, during the systolic phase of aortic blood pressure. This reduces the compression of the aortic wall and hopefully lessens potential erosion and tears, which is a real threat in the split and resuture technique.
Conclusions
The Dacron sleeve technique for ascending aorta aneurysm repair avoids circulatory arrest and shortens the cross-clamp and cardiopulmonary support time. This operative strategy helps in hemostasis, avoids blood transfusion, as well as early post-operative recovery. This technique gives excellent post-operative results with identical CT images as the conventional aortic replacement.
References
- ACC/AHA guidelines March 2010 [7]
- Elefteriades JA. Natural history of thoracic aortic aneurysms: indications for surgery, and surgical versus nonsurgical risks [8]. Ann Thorac Surg. 2002Nov;74(5):S1877-80; discussion S1892-8. PubMed PMID: 12440685.
- Ang KL, Raheel F, Bajaj A, Sosnowski A, Galiñanes M. Early impact of aortic wrapping on patients undergoing aortic valve replacement with mild to moderate ascending aorta dilatation [9]. J Cardiothoracic Surg. 2010 Aug 6; 5:58. PubMed PMID: 20691060; PubMed Central PMCID: PMC2922107.
- Tagarakis GI, Karangelis D, Baddour AJ, Daskalopoulos ME, Liouras VT, Papadopoulos D, Stamoulis K, Lampoura SS, Tsilimingas NB. An alternate solution for the treatment of ascending aortic aneurysms: the wrapping technique. [10]J Cardiothoracic Surg. 2010 Nov 3; 5:100. PubMed PMID: 21047398; PubMed Central PMCID: PMC2987920. 5- Ramadan R, Azmoun A, Al-Attar N, Nottin R. Wrapping of the ascending aorta in acute type A retrograde aortic dissection. Ann Thorac Surg. 2011 Sep; 92(3):e49-50. PubMed PMID: 21871254.
- Cohen O, Odim J, De la Zerda D, Ukatu C, Vyas R, Vyas N, Palatnik K, Laks H. Long-term experience of girdling the ascending aorta with Dacron mesh as definitive treatment for aneurysmal dilation [11]. Ann Thorac Surg. 2007 Feb; 83(2):S780-4; discussion S785-90. PubMed PMID: 17257926.
- Belov IV, Stepanenko AB, Gens AP, Savichev DD, Charchyan ER. Reduction aortoplasty for ascending aortic aneurysm: a 14-year experience [12]. Asian Cardiovasc Thorac Ann. 2009 Apr; 17(2):162-6. PubMed PMID: 19592547.
- Raheel FA, Hickey MS. Dacron Sleeve Around Ascending Aorta Without Excising the Aortic Tissues for Patients with Dilated Ascending Aorta Undergoing Aortic Valve Surgery [13]; CTS net; 2012 Oct 15; Clinical Techniques » Cardiac Techniques.
- Neri E, Massetti M, Tanganelli P, Capannini G, Carone E, Tripodi A, Tucci E, Sassi C: Is it only a mechanical matter? Histologic modifications of the aorta underlying external banding. [14]J Thorac Cardiovasc Surg 1999; 118(6):1116-1118.


