3D Reconstruction for Atypical Resection of Growing Hamartoma [1]
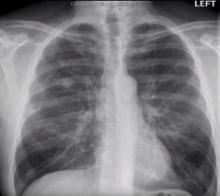
An asymptomatic patient was being followed for a central right upper lobe pulmonary nodule. After eight years, the nodule began to grow and a biopsy revealed it to be a benign hamartoma. Resection was recommended, but the hamartoma was not well suited for segmentectomy. Three dimensional reconstruction was used to develop a parenchymal-sparring procedure to resect the nodule without removing lung parenechyma.