ALERT!

This site is not optimized for Internet Explorer 8 (or older).

Please upgrade to a newer version of Internet Explorer or use an alternate browser such as Chrome or Firefox.

Portals

Pages

This video documents the emergency treatment of a patient with an acute aortic intramural hematoma.
March 15, 2006
By A. Sampath Kumar, MD
November 28, 2005
Introduction
November 28, 2005
Aortic translocation for the treatment of patients with transposition of the great arteries, ventricular septal defect and pulmonary stenosis appears to be an operation whose time has come. This operation was first reported by Hisashi Nikaidoh nearly 20 years ago, in 1984.
May 25, 2005
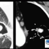
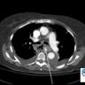
A 52-year-old man presented to the emergency department with complaints of hemoptysis for two days (1/2 to 1 cup of bright blood).  At the time of admission, the patient reported a two-day history of fever (102o F) and chills, but denied weight loss or night sweats.
March 17, 2005
By Sorin V. Pusca, MD, Barry C. Esrig, MD, Preet M.S. Randhawa, MD, Dusan Knezevic, MD , and Muhamed Saric, MD

Pages