ALERT!

This site is not optimized for Internet Explorer 8 (or older).

Please upgrade to a newer version of Internet Explorer or use an alternate browser such as Chrome or Firefox.

COVID-19

December 10, 2020
This is part of a webinar series run by The Association of Cardiothoracic Surgical Care Practitioners (ACT-SCP) in collaboration with STCS.
October 12, 2020
This video discusses how thoracic surgeons can protect themselves during worst-case scenarios during the COVID-19 pandemic, from case triage to service reactivation.
July 28, 2020
Mara Antonoff, Melanie Edwards, Brian Mitzman, and Erin Gillaspie delve into why wellness matters during crises, strategies to achieve wellness, and obstacles to overcome so members of the healthcare team can support one another during such challenging times.
July 28, 2020
Mara Antonoff, Brian Mitzman, Michael Maddaus, and Mehran Amirizadeh discussed crisis management and resilience, including leadership, maintaining personal well-being, and coming back stronger in the face of the pandemic.
July 28, 2020
On Friday, May 8, 2020, CTSNet hosted a live event to find out what our colleagues in Nigeria, Sudan, Tanzania, and South Africa are seeing and doing as they brace for the impact of COVID-19.
July 27, 2020
This video demonstrates COVID-19 infected lungs in 360-degree virtual reality.
July 24, 2020
The COVID-19 pandemic has a substantial impact on the availability of the already scant cardiac surgical services in low- and middle-income countries, but opportunities arise for post-COVID-19 cardiac surgical care expansion through a health systems lens.
July 8, 2020
With the COVID-19 pandemic having the potential to completely overwhelm the U.S. healthcare system, designated COVID-19 hospitals can more effectively utilize resources and personnel, improve treatment, and limit nosocomial spread.
June 24, 2020
The COVID-19 pandemic has disrupted the delivery of pediatric cardiac surgery services in low and middle income countries as much as in wealthy countries, but the consequences will have longer effects.
June 16, 2020
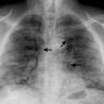
The authors report a case of a COVID-19 pneumonia patient with spontaneous pneumomediastinum and pneumopericardium in the absence of the use of invasive mechanical ventilation.

Pages