ALERT!

This site is not optimized for Internet Explorer 8 (or older).

Please upgrade to a newer version of Internet Explorer or use an alternate browser such as Chrome or Firefox.

Uniportal VATS Left Posterobasal Anatomical Segmentectomy (S9+10)

Wednesday, June 27, 2018

Galvez C, Sesma J, Bolufer S, Lirio F, Corcoles JM. Uniportal VATS Left Posterobasal Anatomical Segmentectomy (S9+10). June 2018. doi:10.25373/ctsnet.6609962.

Anatomical sublobar resections, both segmental and subsegmental, are becoming more and more common. They are used to treat benign lesions and pulmonary metastasis, but they are especially used because they have shown comparable oncologic outcomes in early stage adenocarcinomas with lepidic growth [1,2] and better postoperative profiles by preserving more lung parenchyma when compared to lobar resections. The high frequency of anatomical variations make these procedures more challenging than lobar resections [3], but there are some specific anatomical segmentectomies that present more difficulties, which should be addressed.


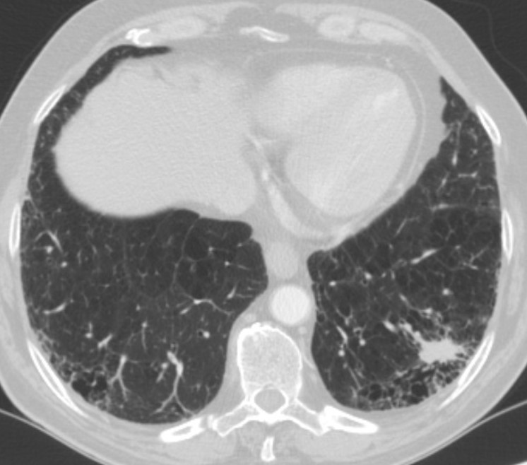
Patient's computed tomography scan.

This video shows a posterobasal (S9+10) left lower lobe segmentectomy for a lepidic adenocarcinoma of 1.7 cm without nodal involvement. Arterial segmental division can be easily achieved when the pulmonary artery is divided by identifying the central branch of the artery (between the upper segment artery A6 and the anterior segment artery A8). Division of the vein requires careful identification of segmental veins for the upper segment, anterior segment, and posterobasal segments. There is a high frequency of variation in the intersegmental veins, so special attention should be focused to clearly determine which of the veins drains S9+10 in order to preserve venous drainage for the remaining segments and avoid segmental infarction [4].

What the authors find most difficult in this procedure is division of the bronchus and the intersegmental fissures. The segmental bronchus for S9+10 lies just below the arterial stump for the segments, but dissection and division is difficult due to its central location within the lobe. After dissection of the S9+10 bronchus, the authors prefer to first divide the anterior intersegmental fissure (between S8 and S9+10) with endostaplers. After that, they divide the superior intersegmental fissure between the upper segment (S6) and the anterior segment (S8). For this, they place the anvil of the stapler above the pulmonary artery and the segmental bronchus, and pull the parenchyma between those segments (S6 and S8 initially, S6 and S9+10 in the posterior portion) towards the stapler. After this maneuver, segmental bronchial division with a stapler can be easily performed.  Finally, it is only necessary to divide the intersegmental fissures, being careful with the segmental veins for the remaining segments in order to preserve them.

This procedure can be safely performed through uniportal VATS approach.


References

  1. Altorki NK, Kamel MK, Narula N, et al. Anatomical segmentectomy and wedge resections are associated with comparable outcomes for patients with small cT1N0 non-small cell lung cancer. J Thorac Oncol. 2016;11(11):1984-1992.
  2. Dziedzic R, Zurek W, Marjanski T, et al. Stage I non-small-cell lung cancer: long-term results of lobectomy versus sublobar resection from the Polish National Lung Cancer Registry. Eur J Cardiothorac Surg. 2017;52(2):363-369.
  3. Nagashima T, Shimizu K, Ohtaki Y, et al. An analysis of variations in the bronchovascular pattern of the right upper lobe using three-dimensional CT angiography and bronchography. Gen Thorac Cardiovasc Surg. 2015;63(6):354-360.
  4. Gossot D, Lutz JA, Grigoroiu M, Brian E, Seguin-Givelet A. Unplanned procedures during thoracoscopic segmentectomies. Ann Thorac Surg. 2017;104(5):1710-1717.

Add comment

Log in or register to post comments