ALERT!

This site is not optimized for Internet Explorer 8 (or older).

Please upgrade to a newer version of Internet Explorer or use an alternate browser such as Chrome or Firefox.

Uniportal Right Upper Lobectomy

Tuesday, January 14, 2014

Since video-assisted thoracoscopic surgery (VATS) was described for anatomic lobectomies, many technical variations have been published. The uniportal technique, which enables the entire procedure to be performed through a single port, was recently introduced. This video shows a uniportal VATS lobectomy for lung cancer treatment.

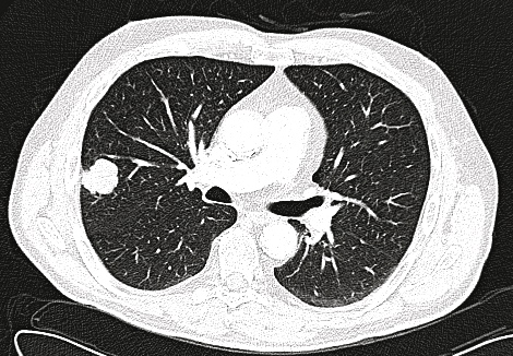
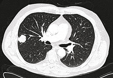
Image 1: Computed tomography showing the 3 x 2.8 cm lesion in the right upper lobe

Image 2: Surgical field and monitors

Image 3: External aspect of the incision with the chest tube (28Fr)

 

 

Add comment

Log in or register to post comments