ALERT!
This site is not optimized for Internet Explorer 8 (or older).
Please upgrade to a newer version of Internet Explorer or use an alternate browser such as Chrome or Firefox.
Robotic Diaphragm Plication
Monday, June 15, 2015
This video documents the author's technique for robotic diaphragm plication. The robot is docked below the patient. Ten horizontal mattress sutures are placed in the chest under CO2. A 4-port technique is used.
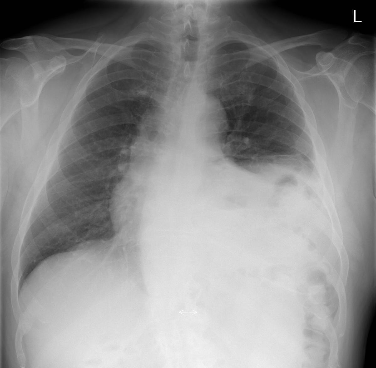
![]() |
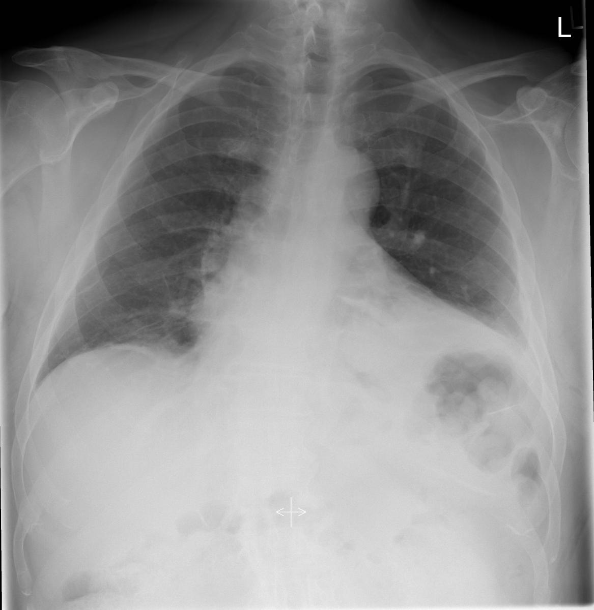
![]() |
| Figure 1: Pre-operative CXR of the patient shows a left-sided paralyzed diaphragm. |
Figure 2: Post-operative day two CXR of the patient after the diaphragm plication. |







Comments