ALERT!
This site is not optimized for Internet Explorer 8 (or older).
Please upgrade to a newer version of Internet Explorer or use an alternate browser such as Chrome or Firefox.
Left Lower Lobe Bronchiectasis After Rare Abnormal Migration of Ventriculoperitoneal Shunt in a Hydrocephalic Child
El Adel M, Nady MA. Left Lower Lobe Bronchiectasis After Rare Abnormal Migration of Ventriculoperitoneal Shunt in a Hydrocephalic Child. June 2019. doi:10.25373/ctsnet.8224757.

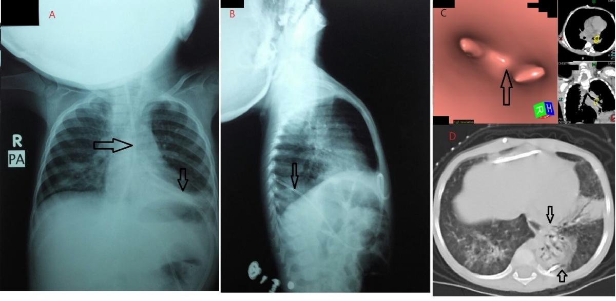
Figure 1. VP shunt in the left lower lobe of lung piercing left copula of diaphragm. A and B) PA and lateral chest x-ray. C and D) MSCT chest, pulmonary and tracheobronchial reconstruction windows.
The ventriculoperitoneal (VP) shunt is a commonly used treatment for hydrocephalus. Shunt malfunctions such as obstruction and disconnection are common; however, migration of the distal catheter out of the abdomen is less frequent. Recurrent chest infection in a hydrocephalic child should be taken in serious consideration. The authors report a very rare case of distal migration of a VP shunt catheter into the left lower lobe of the lung. This is the first case in the literature presented by bronchiectasis changes in lung due to abnormal migration of a VP shunt and the first case in literature reported by a cardiothoracic surgeon in relation to authors’ knowledge.
Case Report
A 2-year-old girl with congenital hydrocephalus had a VP shunt that had been inserted from 1 year. The patient presented with recurrent chest infection and productive cough for 10 months. Also, she suffered from intermittent attacks of vomiting and diarrhea over 2 months duration. On evaluation, the patient was expectorating a clear watery sputum. A chest x-ray revealed radio-opaque catheter emerging from the abdomen into the left lower hemithorax. Chest computed tomography revealed abnormal migration of the VP shunt in the left lower lobe of lung and piercing left copula of diaphragm, with bronchiectatic changes and pneumonic consolidation of left lower lung lobe.
Operative Details
A catheter extraction or repositioning and left lower lobectomy was planned, so the patient was placed in the right lateral decubitus position and a left lateral limited thoracotomy with a 4 cm incision was performed. After opening the chest, the left lower lobe of the lung was atelectatic and destroyed, with adhesions to the chest wall and a piece of omentum was herniating and adherent to its under surface.

Figure 2. Intraoperative images showing the VP shunt during its removal from the left lower lung lobe.
The left lower lobe of the lung was dissected from the diaphragm, which revealed the site of penetration of the VP shunt; the shunt was associated with a herniated piece of omentum. Removal of shunt from lower lobe was done first, and then the authors proceeded to a left lower lobectomy. The herniated piece of omentum was excised with repair of the diaphragm with two layers of interrupted mattress silk 2/0 sutures. A left chest drain was placed, and the thoracotomy was closed in layers in a standard fashion.
Postoperative Course
The patient then arrived from the operating room and went uneventfully. She was able to be discharged after 5 days of hospitalization.
Discussion
VP shunt migration to the thorax is reported in the literature and mostly due to inflammatory changes causing diaphragmatic erosion [1]. Here, the authors report a very rare case of distal migration of a VP shunt catheter into the left lower lobe of the lung, causing bronchiectatic changes and pneumonic consolidation. Shunt migrations have a various mechanisms. The negative intrathoracic pressure make the shunt adherent to diaphragm slowly draw back into the thorax, also the inflammatory process and fibrosis cause a diaphragmatic erosion and perforation due to continuous pressure to the shunt adhered to the diaphragm [2]. Various respiratory complications may occur from abnormal migration of a VP shunt into the thorax, such as pleural effusion, pneumothorax, bronchial fistula, bronchiectasis, hydrothorax, empyema, and pneumonia [3]. To the best of the authors’ knowledge, this case is the first case in the literature that shows bronchiectasis changes in the lung.
Conclusion
Recurrent chest infection with clear watery sputum in a child with a VP shunt should elicit suspicion of a catheter migration until proven otherwise.
References
- Sahin S, Shaaban AF, Iskandar BJ. Recurrent pneumonia caused by transdiaphragmatic erosion of a ventriculoperitoneal shunt into the lung. Case report. J Neurosurg. 2007;107(2 Suppl):156-158.
- Karapolat S, Onen A, Sanli A. Intrathoracic migration of ventriculoperitoneal shunt: a case report. Cases J. 2008;1(1):42.
- Rahimi Rad MH, Mirzaagazadeh J, Ansarin K. Supradiaphragmatic and transdiaphragmatic intrathoracic migration of a ventriculoperitoneal shunt catheter. Hong Kong Med J. 2007;13(2):147-149.




