ALERT!

This site is not optimized for Internet Explorer 8 (or older).

Please upgrade to a newer version of Internet Explorer or use an alternate browser such as Chrome or Firefox.

Fluoroscopy

Sunday, March 29, 2009

Fluoroscopy is an essential tool for the endovascular surgeon. This manuscript will review the fundamentals of fluoroscopy for thoracic endovascular aortic repair (TEVAR) and will focus on matters specific for thoracic aortic stent grafting. The following items will be discussed: types of fluoroscopy, preoperative use of fluoroscopy, positioning of patient, positioning of fluoroscopy for successful imaging, and obtaining the best imaging during stent grafting.

Fluoroscopic Equipment

The type of imaging equipment at institutions is variable. Most hospitals have a basic portable C-arm with a vascular package software and the more advanced institutions will have either floor or ceiling mounted C-arms which are fixed. These fixed units generally allow higher definition imaging and more facile movement of catheters and devices by allowing the operator to control both the imaging unit and bed position. However, regardless of the specific imaging system, the essentials of fluoroscopy are unchanged and successful TEVAR can be achieved with each system.

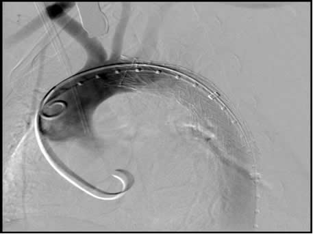
Figure
Figure 1: Digital subtraction imaging (DSA) with marker pigtail catheter in distal ascending aorta, guidewire advanced and curled around aortic valve and stent graft deployed covering left subclavian artery.

Preoperative Assessment

Fluoroscopy is the backbone for the workup, evaluation, and successful deployment of thoracic aortic stent grafts. Although fluoroscopic imaging for the preoperative work up of thoracic aortic pathology is often unnecessary with advanced CT and MRI imaging techniques, preoperative fluoroscopy may be necessary for the arteriography of the aorta and great vessels to determine precise anatomical relations when proximal landing zone (LZs) of the stent graft cannot be determined by non-invasive imaging. When using fluoroscopy for measurements, a marker catheter, with 1cm radiopaque markers, is useful to avoid parallax error (Figure 1). Parallax error is the difference is length measurements that occur when the C-arm is moved toward or away from the patient and the relative relationships of landmarks and lesions are altered.

In addition, preoperative intravascular ultrasound (IVUS) can be used with fluoroscopic guidance to provide real-time and precise measurements of thoracic aortic diameter, proximal and distal landing zone length, length of required stent grafts, associated aortic pathology such as dissection or significant mural thrombus, and great vessel origin.

Patient Positioning

There are several variations for patient positioning. Typically, patients are placed in the supine position with the chest, abdomen, and groins prepped in a sterile fashion. The arms can then be raised over the head and padded. This position will keep the arms from interfering with imaging of the thoracic aortic arch when the C-arm is turned in an oblique angle and also allows the C-arm to be turned horizontally to allow imaging of the celiac artery.

Alternatively, the left arm may be placed on an armboard and extended from the body to allow left brachial artery access. In addition, the head may be turned to the right side with the left neck exposed and prepped into the field in the event of inadvertent coverage of the left carotid artery and need for emergent carotid to carotid bypass. These last two methods of positioning ensure all necessary vascular access is preserved.

Fluoroscopic Imaging Basics

The main preventable causes of morbidity and mortality in TEVAR procedures are complications related to access. These complications may be recognized or unrecognized at the time of surgery and include injury to the femoral arteries, the iliac arteries, and the aorta. The main tool to prevent these injuries is safe access and careful manipulation of guidewires, catheters, and sheaths under fluoroscopic guidance.

Fluoroscopy is used in several different methods. The passage of guidewires, catheters, and sheaths is performed under pulsed fluoroscopy which provides good resolution regarding positioning of the devices. Continuous fluoroscopy is used “to shoot” an arteriogram and is at a higher frame rate and resolution. A digital subtraction arteriography “DSA” is created by image software which first shoots a mask of the background objects, and subtracts the background and allows the column of contrast in the angiogram to be displayed without interference of the background. "Road mapping" permits real-time catheter guidance with a contrast background. Road mapping is established by digitally subtracting the initial non-contrast background, then contrast is injected into the vessel of interest and a new combined image of the contrast injection is superimposed on the real-time fluoroscopic image. All of these techniques are available with the most basic vascular package software on a portable C-arm unit.

Contrast Power Injection v. Hand Injection

Contrast can be injected using an automated power injector or hand injector. Most cases use a combination of the two methods to complement one another. Hand injection is fast and can be used to guide the advancement of catheters in the iliacs and aorta. However, power injection is needed to opacify large volume arteries such as the aorta. Common injection settings for contrast injection of the aorta are “20 for 40” which correlates to 20ml/sec for a total of 40 ml.

Standard contrast solutions contain iodine and are offered in a variety of osmolarities and in both ionic and non-ionic forms. The lower the osmolarity, the less physiological damage to the patient but the more expensive. Non-ionic contrast is associated with less complications because of its associated lower osmolarity. Both Omnipaque and Visapaque are nonionic contrast agents at different osmolarities.

Basic Thoracic Aortography

Figure
Figure 2: From Schneider PA. Endovascular Skills: Guidewires and Catheter Skills for Endovascular Surgery

Optimal imaging of the thoracic aorta is obtained by advancing a 90cm pigtail catheter to the level of interest, which is usually in the proximal aortic arch. The power injector is connected using sterile tubing and all tubing in de-aired thoroughly. Thoracic aortic contrast is set to 20ml/sec for 40ml total and the patient is instructed to hold their breath and the aortogram is performed.

Basic Fluoroscopic Projections

Angulation of the C-Arm is essential for fluoroscopic evaluation of the arterial tree. The basic projections are listed in Table 1. These suggested projections optimize full visualization of the artery and are necessary for correct assessment of angulation, tortuosity, and length measurements. An example of the thoracic aortic arch illustrated at different angulations is demonstrated in Figure 2.

Artery of Interest

C Arm Angulation suggestion

Aortic Arch

45-60 degree Left Anterior Oblique (LAO)

Innominate Artery

Right Anterior Oblique (RAO)

Left Subclavian Artery

LAO

Left renal

LAO

Right Renal

RAO

Left Iliac bifurcation

RAO

Right Iliac bifurcation

LAO

Right SFA/profunda

RAO

Left SFA/ profunda

LAO

This is a brief review of basic fluoroscopic principles for TEVAR. An in depth review is available from the following bibliography:

References

  1. Criado FJ. Endovascular Intervention: New Tools and Techniques for the 21st Century Armonk, NY: Futura Publishing Company; 2002.
  2. Schneider PA. Endovascular Skills: Guidewires and Catheter Skills for Endovascular Surgery Second ed. NY, New York: Marcel Dekker; 2003.
  3. Moore WS. Vascular and Endovascular Surgery: A Comprehensive Review. 7th ed: Saunders; 2005.

Add comment

Log in or register to post comments