ALERT!
This site is not optimized for Internet Explorer 8 (or older).
Please upgrade to a newer version of Internet Explorer or use an alternate browser such as Chrome or Firefox.
Fish Bone Causing Choking in Child
Osman S, Ahmed M, Abdelaal K, Mohamed E, Amin A, Talal A. Fish Bone Causing Shocking in Child. November 2020. doi:10.25373/ctsnet.13162091
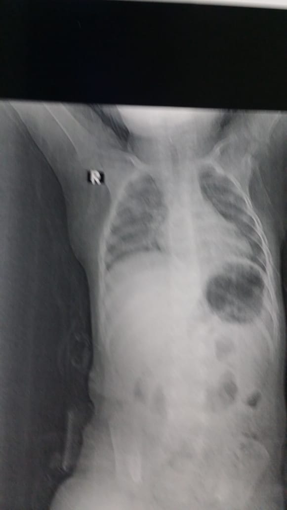
A foreign body inhalation is an uncommon event, especially among children and young adults. The authors report a case of a 1.5-year-old boy who had presented to A&E with a 3-hour history of choking and coughing while eating a fish-based meal.

There were signs of respiratory distress (stridor). A plain chest X-ray demonstrated a radio-opaque shadow inside the trachea. A rigid bronchoscope was performed under general anesthesia, and after several attempts, a large fish bone was removed. The foreign body was found under the vocal cords, and the procedure was uneventful. The child was discharged 10 hours after bronchoscopy in a good general condition.

Disclaimer
The information and views presented on CTSNet.org represent the views of the authors and contributors of the material and not of CTSNet. Please review our full disclaimer page here.




