ALERT!
This site is not optimized for Internet Explorer 8 (or older).
Please upgrade to a newer version of Internet Explorer or use an alternate browser such as Chrome or Firefox.
Dual Incision Thoracoscopic Decortication for Stage 2 Fibrinopurulent Effusion
Introduction
Thoracoscopic decortication for stage 2 fibrinopurulent effusion has the advantage of using a minimally invasive technique in an already morbid patient where other modalities have failed (1,2,3). These patients usually have some degree of rib crowding due to a collapsed lung, along with a chest drain that has failed to clear the pleural content or expand the lung (4). The chest drain is usually located in the 5th or 6th intercostal space along the posterior axillary line for dependent drainage. Limiting the number of port incisions to two and localizing it along the relatively wider anterolateral chest wall in an already narrowed interspace will further reduce the operative site pain and postoperative neuralgia associated with thoracoscopy. The dual incision thoracoscopic (DIT) decortication for stage 2 fibrinopurulent effusion is done through the existing chest tube wound and an additional 2 cm incision (5). The two incisions can be interchanged for placing the thoracoscope and the instruments. The fibrinopurulent peel overlying the lung is relatively soft and can be aspirated or peeled off. A thoracoscopic decortication should be considered adequate when all contents are drained, fissures opened, lung free from the diaphragm, and symphysis of the diaphragm to the chest wall opened with free expansion of the collapsed lung (6).
Patient selection
Indications
- Failure of lung expansion following chest tube drainage in fibrinopurulent effusion
- Multiloculated pleural effusion
Exclusion
- Stage 3 (fibrous) empyema
- Severely crowded rib space
Operative steps
Positioning
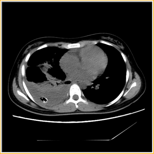
The patient is intubated with a double lumen tube for lung isolation and then placed in the lateral decubitus position, as for a thoracotomy. The chest tube which failed to remove the loculated collection or re-expand the lung is removed (Figure 1).

Figure 1: Loculated collection with collapsed lung and chest drain.
Port Placement
A finger dissection of the chest tube wound is done before placing a 10.5 mm thoracoport, through which the 10 mm 30 degree telescope will be introduced. The chest tube wound is usually located in the 5th or 6th intercostal space along the midaxillary to posterior axillary line. The thoracoscope then visualizes the pleural space which is filled with fibrinopurulent material that forms a peel over the lung surface, entrapping it. The 10.5mm thoracoport is withdrawn over the thoracoscope to give space for the introduction of Yankauer suction alongside the thoracoscope (Video 1). The Yankauer suction breaks the loculi and sucks out loculated fluid, increasing the working space and vision of the thoracoscope by avoiding contact of the lens with fibrinopurulent collection (Video 2). An incision of about 2 cm is then created under vision in the 6th intercostal space between the midclavicular and anterior axillary lines and started with a finger dissection to remove any pleural symphysis around it (Video 3). The two incisions will now be used to start the dual incision thoracoscopic (DIT) decortication.
Video 1: Thoracoscopy through chest tube wound.
Video 2: Initial view of the pleural cavity.
Video 3: Second Incision for DIT.
Drainage
In order to gain adequate space for dissection, the fibrinopurulent collection is disrupted, drained, and removed without injuring the underlying lung. All these procedures are performed using a combination of Yankauer suction, peanut, and curved ring forceps. The loculated collection is usually along the dependent posterior chest wall and drainage of this collection further exposes the underlying lower lobe of the lung for future visceral pleural decortication (Video 4).
Video 4: Drainage and evacuation of collection.
Exposure of the Fissure
The underlying fissures of the lung are usually free of fibrinous peel. Once the peel overlying its surface is exposed, it can be easily opened. This also helps in identifying the correct plane of decortication and expansion of the lung. Exposure of the fissure is gradually attempted with the Yankauer suction device and gradual re-inflation of the lung. The process of completely opening the fissure for free lung expansion can be completed at the end of decortication (Video 5).
Video 5: Opening the fissure.
Freeing the Diaphragm
The diaphragm should be freed from the lower lobe of the lung to avoid further tenting of the diaphragm and increase space for dissection. This can be done with relative ease as the oblique fissure is already opened, allowing for the correct plane of dissection along the diaphragmatic surface of the lower lobe. Freeing of this surface also allows further visibility of the posterior chest wall recess, and freeing of the symphysis between diaphragm and posterolateral chest wall (Video 6).
Video 6: Freeing the diaphragm.
Expansion of trapped lung
After having performed adequate drainage and opening of the fissures and diaphragm, the visceral pleural peel is removed from the underlying lung wherever a correct plane is identified. This step is best performed with a partially ventilated lung, which exposes the shiny visceral pleura of the lung. Decortication is done using a Yankauer suction tip, peanut, and curved ring forceps. Any area of air leak should be abandoned and that area can be approached from another plane (Video 7).
Video 7: Visceral pleural decortication.
Completion of Decortication
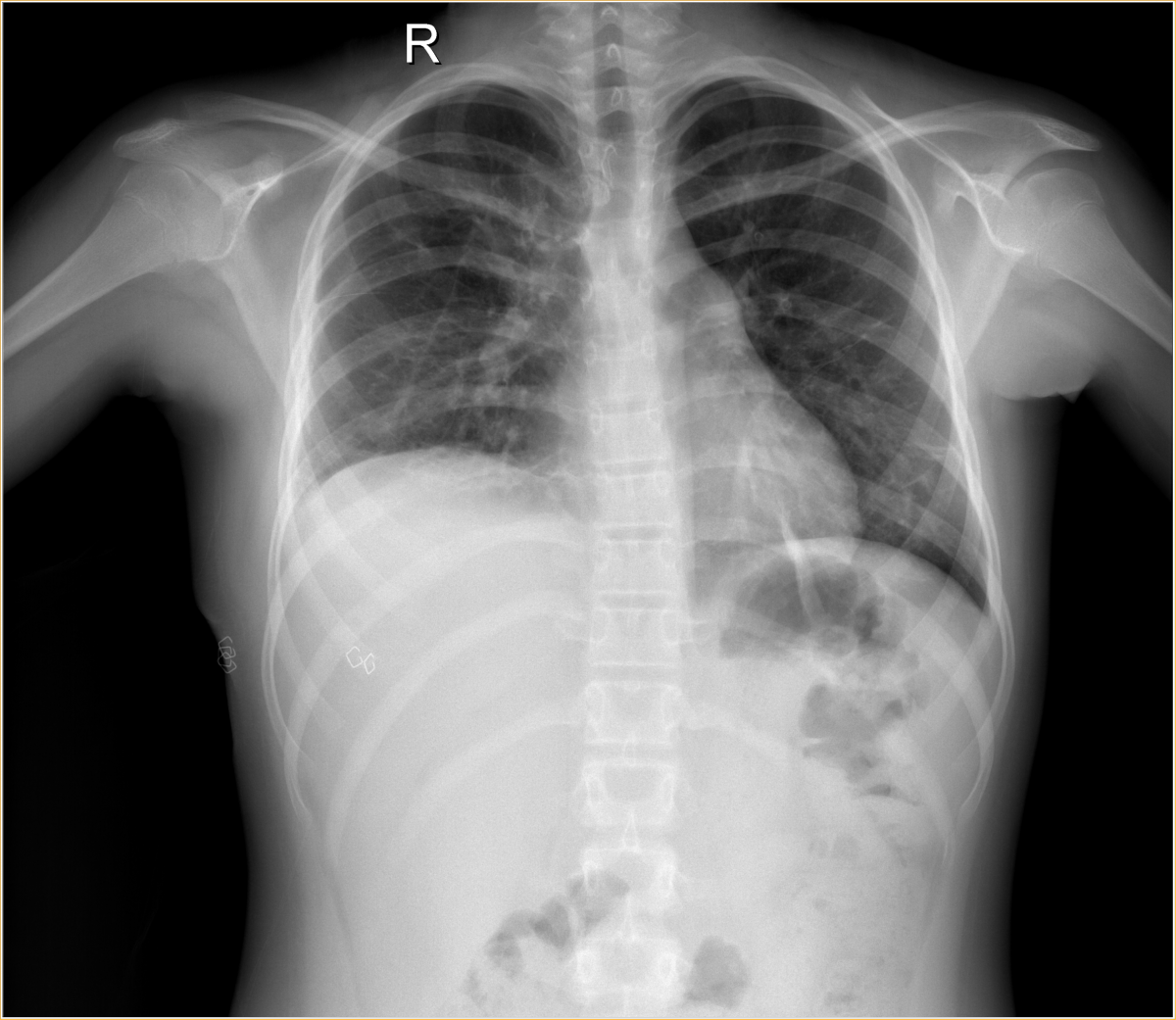
DIT decortication should be considered adequate when all pleural contents are drained, the fissures are opened, the lung is freed from the diaphragm, there is no symphysis of the diaphragm to the chest wall, and there is free expansion of the lung (Videos 8, 9). The previous chest drain site is debrided with excision of skin margin, and 28 Fr chest drains are placed anteriorly and posteriorly through the two incisions (Video 10). Postoperatively, suction is applied to the chest drains routinely, and they usually are removed on the 2nd and 3rd postoperative day when drainage is less than 200 ml in 24 hours (Figure 2).
Video 8: Complete drainage of fibrinopurulent collection.
Video 9: Expand lung with open fissure.
Video 10: DIT wounds for chest tubes.

Figure 2: Chest x-ray after tube removal.
Preference card
- 10 mm 30 degree telescope
- Curved ring forceps
- Yankauer suction
- Peanut mounted on a curved ring forceps
Tips and pitfalls
- DIT decortication can be started with multiloculated empyema to attain experience.
- Dissection to identify the desired plane should start along the fissure or diaphragmatic surface.
- Dissection should be avoided at sites of air leak.
- The pleural cavity should be completely drained of all fibrinopurulent material.
- The anatomical fissure and diaphragmatic surface of the lung should be freed to allow free expansion of the lung.
References
- Chambersa A, Routledgeb T, Dunning J, Scarcib M. Is video-assisted thoracoscopic surgical decortication superior to open surgery in the management of adults with primary empyema. Interact CardioVasc Thorac Surg 2010;11(2): 171-177.
- Tong BC, Hanna J, Toloza EM, Onaitis MW, D'Amico TA, Harpole DH, Burfeind WR. Outcomes of video-assisted thoracoscopic decortication. Ann Thorac Surg 2010;89(1):220-5.
- Vyhnánek F, Jírava D, Ocadlík M. The role of VATS in the treatment of thoracic empyema. Rozhl Chir 2011; 90(3):143-7.
- Qureshi NR, Gleeson FV. Imaging of pleural disease. Clin Chest Med 2006;27(2):193-213.
- http://cirugiadetorax.org/2012/04/19/case-report-dual-port-decortication-of-empyema/
- Manunga J, Olak J. Is thoracoscopic decortication sufficient for the treatment of empyema? Am Surg 2010;76(10):1050-4.





Comments